Виды прикуса. Глубокий прикус.

3 минуты на чтение
3
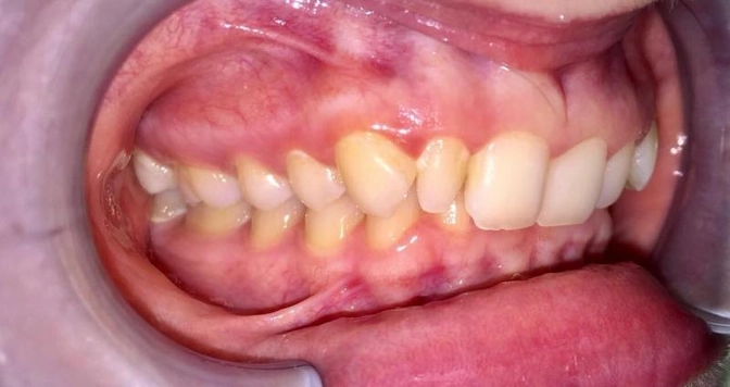
Называется такой прикус - глубокий.
Во время смыкания центральные зубы верхней челюсти перекрывают зубы нижней более, чем на 1/3.
Встречаются случаи полного перекрытия (как тут)
Верхняя челюсть словно крышка полностью перекрывает нижнюю.
1. Среди возможных причин основная – генетическая предрасположенность.
Чаще у одного из родителей или ближайших родственников есть похожая проблема.
2. Отягощающий фактор -преобладание в рационе ребенка блендированной пищи.
Отсутствие регулярной нагрузки на жевательную мускулатуру может спровоцировать замедление развития нижней челюсти.
Следствие - формирование глубокого прикуса.
3. Если не проводить работу по коррекции глубокого прикуса, возможны осложнения в виде перегрузки височно-нижнечелюстного сустава.
Как следствие – в более зрелом возрасте это явление начнут сопровождать боль и сложности при открывания рта.
Ещё глубокий прикус – отягощающий фактор в вопросе патологической стираемости зубов, скола пломб, виниров, коронок.
Поэтому перед установкой дорогостоящих реставраций на линию улыбки важно пройти полную диагностику и лечение у врача ортодонта.
Иначе счастье от «Голливуда» может длиться недолго.
Домашнее задание вам на сегодня:
попробовать самостоятельно посмотреть и оценить свой прикус.
Если получится, прикус ребёнка тоже.
Ну как?
Не глубокий?
Но ещё же есть другие варианты.
О них позже.
Читайте также






