Самый коварный вид кариеса.

3 минуты на чтение
3
Сами посудите, там отличные условия:
• тепло, уютно, не смывает слюной,
• при некачественной гигиене там всегда есть чем поживиться,
• можно поразить сразу два зуба "одним выстрелом".
Вот такая хитрая штука - контактный кариес.
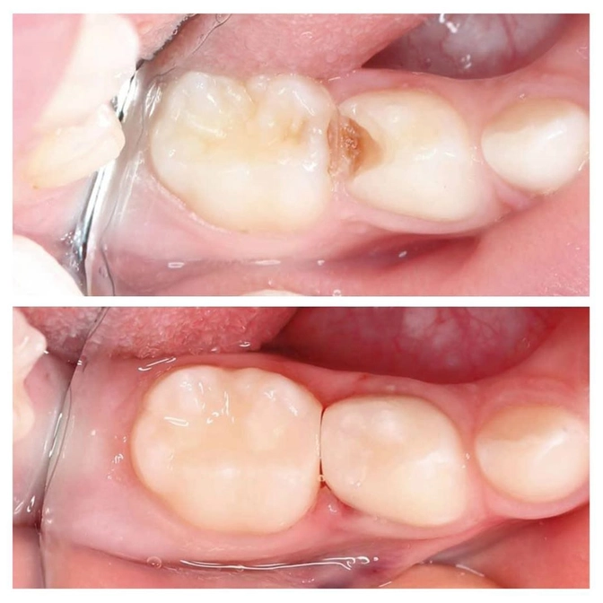
А вот пациенту Алёны Долгалевой повезло меньше.
Ему 4,5 года, и кариес поразил сразу "четверку" и "пятерку".
Поменяться они должны примерно в 9 и 12 лет соответственно.
А значит нужно сделать всё, чтобы сохранить их до этого момента.
Лечение:
✔Чтобы исключить воспаление на корнях зубов и за их пределами, делаем снимок.
Все ок, воспаления нет.
Но в четвертом зубе кариес уже дошел до "нерва".
Диагноз - пульпит.
Поэтому, "нерв" удаляем и восстанавливаем зуб пломбировочным материалом.
✔Дальше лечим "пятерку".
Кариес неглубокий, на жевательной поверхности зуба имеются глубокие пигментированные фиссуры (естественные углубления на зубе).
• Кариес убираем;
• Рельеф зуба тоже правим, чтобы пища и налет не застревали;
• Восстанавливаем пломбировочным материалом;
• Фиссуры герметизируем;
• Шлифуем и полируем специальными резиночками.
Профилактика контактного кариеса:
✔Тщательная гигиена полости рта (использование зубной нити после еды и перекусов в течение дня и ирригатора вечером после чистки зубов);
✔Ограничить количество перекусов, употреблять несладкие и не липнущие к зубам продукты;
✔Регулярное посещение стоматолога и проведение профессиональной гигиены.
Читайте также






