Патологическая стираемость зубов.

3 минуты на чтение
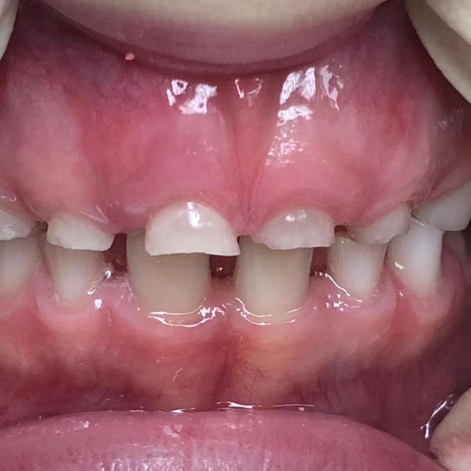
3
Это НЕ кариес
И нет, ребёнок ничего НЕ ломал
Я вам больше скажу:
С тех пор, как я сделала это фото (несколько месяцев назад) мы уже успели лишиться одного из «коротких» зубов.
Мальчику (не соврать бы) 7лет
Нижние центральные зубки уже поменялись - постоянные.
А верхние - это молочные.
А такие короткие они из-за патологической стираемости зубов
А возникла она в данном случае из-за неправильного прикуса.
Теперь главный вопрос: что делать?
С молочными уже ничего.
Бог с ними.
Уже меняются.
Но если не предпринимать мер, подобная стираемость коснётся постоянных зубов.
А это уже прям проблема.
Поэтому - исправляем прикус, повлёкший за собой столь неприятные последствия.
Ортодонтическим лечением вплотную занялась наша ортодонт Оксана Журавская.
Читайте также






