О важности рентген-диагностики!

3 минуты на чтение
3
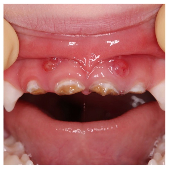
Мама увидела "шарики" на деснах над верхними центральными зубами, обратилась к доктору.
Доктор после осмотра дал заключение: «у вас стоматит.
Помажьте антисептиком и все пройдет.»
Занавес.
Москва.
Наши дни.
А диагностические снимки зубов для достоверности, видимо, ни к чему.
И так все понятно..
У меня просто нет приличных слов.
На приеме в #ЦентрСелютиной малышу (все-таки) сделали снимок.
И явно видим: никакой это не стоматит (хотя и без снимка это понятно)
Шарики на дёснах - это свищи.
А свищи появляются не от грязных рук, а от того, что воспаление уже вышло за пределы зубов.
А там и зачатки постоянных зубов недалеко.
И для них это воспаление тоже не витаминка.
Корни молочных при этом рассосались!
И это не норма!!!
А гной от воспаления пошел наружу к краю десны и образовал вот такие "шишки"
Прием вела доктор Светлана Кожемякина.
Вердикт - центральные верхние резцы УДАЛЯЕМ.
Иначе никак.
! Лично мое мнение по поводу лечения свищей: я против их прижигания!
К сожалению, есть такая тактика, но ни к чему хорошему она не приводит.
Воспаление так и останется внутри, это крайне опасно для зачатков постоянных зубов.
Поэтому, обязательно делаем снимки, и, если есть патологическая резорбция (рассасывание) корня, то зуб удаляем.
Читайте также






