Молочный зуб выпал, а постоянного нет: что делать?

3 минуты на чтение
3
Как это случилось и что теперь делать?
Об этом вам расскажет лечащий врач, ортодонт Оксана Журавская .
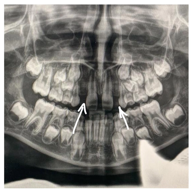
Пациентке 7 лет.
Ранее она лечилась в государственной клинике, теперь пришла в #ЦентрСелютиной.
А произошло вот что: молочные боковые резцы на верхней челюсти выпали, а постоянные никак не растут.
Долго ждать их не стали и пришли к нам.
К слову, до этого девочке ни разу не делали общий панорамный снимок всех челюстей (ОПТГ).
Поэтому и не знали, что зачатков постоянных резцов нет и ждать их появления бессмысленно.
Почему это произошло, возможные причины:
1. Наследственный фактор;
2. Болезни матери в 1 или 3 триместрах беременности;
3. Прием антибиотиков во время беременности;
4. Болезни ребенка до 1 года.
Какое лечение назначено?
✔Изготовлена пластинка-протез, которая будет замещать боковые резцы;
✔Так мы будем сохранять место в области отсутствующих зубов, чтобы соседние не сползли в образовавшуюся пустоту;
✔Расширяем верхнюю челюсть, т.к. есть сужение и скученность на нижней;
✔В 20 лет будет проведена имплантация и установлены коронки (ранее нельзя).
Читайте также






