Клинический случай: преждевременная потеря центрального молочного зуба

3 минуты на чтение
3
Зубки-блеск, но один потерялся!
Маленькому пациенту всего три года, и это не естественная смена молочного зуба.
Но обо всем по порядку.
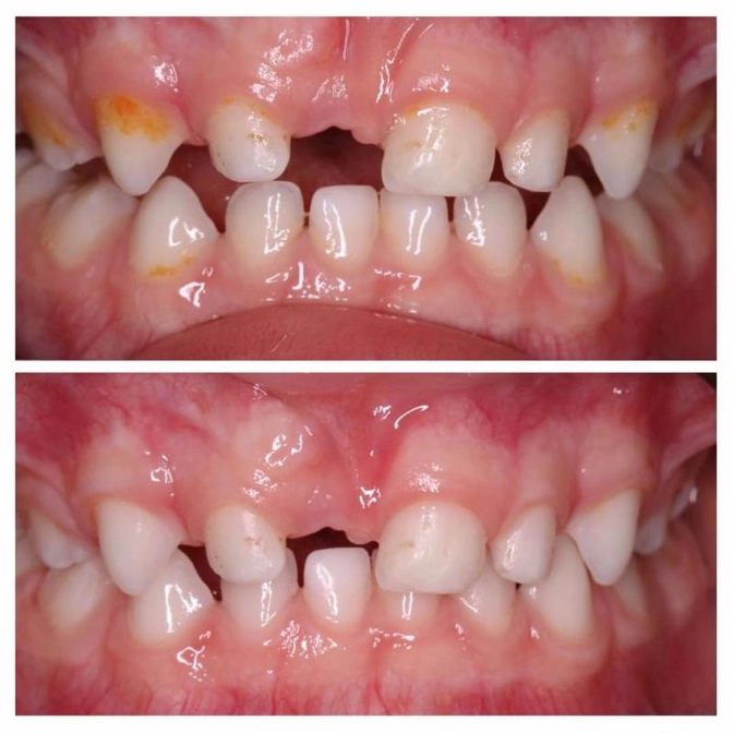
Желтое - это налет на всех зубах. Ребенок не дружит с зубной щеткой, а родители и не настаивали.
Провели профессиональную чистку и, конечно, обнаружили кариес.
К счастью, его можно стабилизировать.
• В кабинете мы периодически будем повторять гигиену и фторирование;
• Дома: родители будут стараться тщательно чистить зубки и мазать их реминерализирующими средствами.
Но что же все-таки случилось с центральным резцом?
Все банально и печально.
1,5 года назад малыш упал и выбил этот зуб.
Это называется полный вывих зуба.
И из-за его преждевременной утраты соседние стали смещаться на пустующее место.
В этом случае требуется протезирование - изготовление заместительной пластинки у врача-ортодонта.
Но!
Пока мы приняли решение немного повременить.
Важно, чтобы ребенок носил аппарат постоянно, только тогда будет эффект.
В 3 года, сами понимаете, что это организовать достаточно трудно.
Поэтому, ждем и наблюдаем в течение года или дольше, потом к ортодонту.
Думаете, на этом все?
Еще один подвох кроется чуть выше зубов - сразу не заметили?
А ведь у малыша короткая уздечка верхней губы.
Прикрепление очень низкое, и возможно придется ее подрезать, но не раньше, чем сменятся все центральные зубы.
И ещё, у ребёнка есть тенденция к формированию глубокого прикуса.
Видите, верхние зубки сильно перекрывают нижние.
Так что вполне возможно в перспективе ортодонт станет лучшим другом.
Пока выжидательная тактика.
Назначена активная жевательная деятельность - грызем яблочки и морковки.
Читайте также






