Гипоплазия молочных зубов

3 минуты на чтение
3
В этом случае нет!
Зубы СРАЗУ прорезались такими, а значит, нужно задуматься и «копать глубже»
Дело имеем с пороком развития под названием гипоплазия
Мальчику 2,5 года.
У нас - с года.
Родители увидели, что зубки появились сразу с пятнами, и бегом к стоматологу.
Все правильно сделали!
Потому что пораженные гипоплазией зубы ОООЧЕНЬ уязвимы, и если сюда присоединится кариес, то он их разрушит молниеносно.
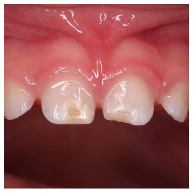
К слову, с гипоплазией все резцы на верхней и нижней челюсти.
✔Чтобы минимизировать риск кариеса и разрушения зубов, мы регулярно проводим курсы глубокого фторирования.
Пациент стабильно приходит к нам каждые три месяца.
Результат на лицо или на зубах.
В динамике за полтора года ничего не усугубляется, кариеса нет.
Единственный момент - мальчик травмировал левый резец.
Упал, ударился и сколол эмаль.
Этот дефект мы заполировали, отшлифовали, продолжаем наблюдать и фторировать.
✔Дома, естественно, маниакальный уход: чистка, ToothMousse, контроль питания.
Родители - молодцы!
Напомню о гипоплазии молочных зубов.
✔Это некариозное поражение, порок развития зубных тканей.
Зуб прорезается СРАЗУ с пятном/пятнами, со сколами или бороздками.
В редких случаях эмаль на зубе может вообще отсутствовать - это аплазия (явление редкое, я сама на практике не встречала).
Причины:
Закладка всех молочных и частично постоянных зубов происходит на 5-7 неделе беременности.
Если у женщины в этот период был:
• стресс;
• токсикоз;
• инфекционные заболевания (ОРВИ, краснуха и др.);
• приём сильнодействующих препаратов;
! ТО риск гипоплазии зубов высок.
В группу риска также попадают дети, чьи мамы страдают диабетом, хроническими заболеваниями почек.
Гипоплазия делает зубы слабее и менее защищёнными от причин, приводящих к кариесу.
Поэтому, обращайте внимание на только что прорезавшиеся зубы.
Увидели что-то подозрительное (пятна, неровности) - бегите на осмотр к врачу.
Пациентам с гипоплазией будут назначены профилактические меры для укрепления зубов у врача и дома.
Читайте также






