Гипоплазия молочного резца

3 минуты на чтение
3
Налет?
Кариес?
Впервые этого пациента я увидела, когда ему был 1 год.
В силу возраста он не контактировал, кричал и сопротивлялся, не давал что-либо делать
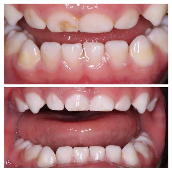
Центральный зуб изначально прорезался слегка недоразвитым.
Это гипоплазия.
Остальные зубки были в порядке.
Мы начали регулярно проводить курсы глубокого фторирования.
Дома - маниакальный уход и тщательная гигиена.
Все было стабильно, но...
Случился долгий перерыв и за это время присоединился кариес, который начал разрушать зуб.
Ребенку сейчас чуть больше 2х лет.
Мама переживала, что снова будут истерики и капризы, но все прошло гладко .
Он подрос и дал себя полечить.
✔Отлично перенес анестезию;
✔И дал отреставрировать центральный зубик.
Седация и наркоз не понадобились, ура!
✔Плюс провели профессиональную гигиену и ждем теперь пациента на регулярные профосмотры.
➡ Гипоплазия - это недоразвитие (порок) эмали зубов, возникающее до их прорезывания и характеризующееся:
• Изменением цвета зуба.
• Пятнами округлой формы белого, реже желтоватого, цвета, с четкими границами и блестящей, гладкой поверхностью (реже - тусклой).
• Изменением структуры - более тяжелая форма, которая проявляется углублениями в эмали там, где их быть не должно.
• Полным отсутствием эмали.
Для правильной диагностики гипоплазии врачу надо понимать, каким зуб появился - сразу таким или изменился после прорезывания.
Поэтому, всегда обращайте внимание при появлении новых зубов у ребенка - это очень важно при постановке диагноза и методах лечения.
Любые пятна, полоски, углубления должны вас насторожить!
Читайте также






