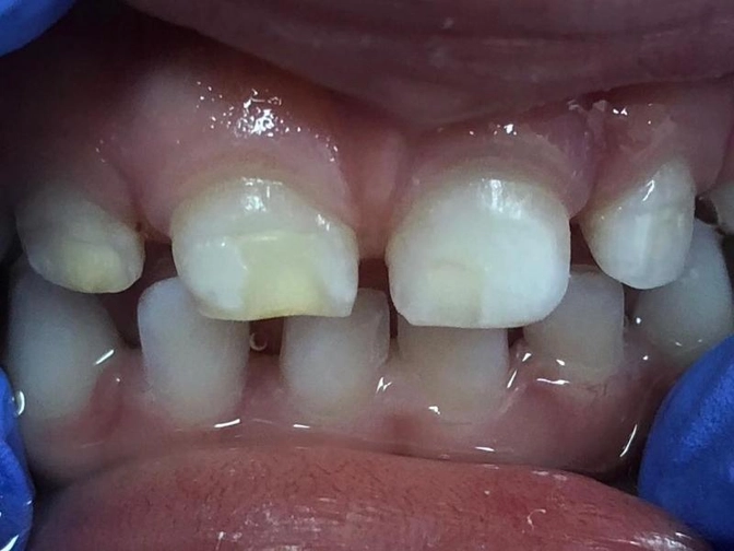
Гипоплазия эмали.

3 минуты на чтение
3
Девочке уже 3 года.
Пришла (точнее принесли ее Родители) два года назад.
Принесли, потому что ходить не умела тогда.
Направил в столь юном возрасте педиатр, заметив неладное при ТЩАТЕЛЬНОМ осмотре.
Хвала грамотным и небезразличным врачам.
Думали, что кариес.
А вот и нет.
Это ГИПОПЛАЗИЯ.
Часто ее путают с кариесом.
Самый главный вопрос, на который должны ответить родители:
зубы ТАКИМИ были сказу при прорезывании или сначала было все ок, а позже зубы начали «портиться».
Дело все в том, что в отличие от кариеса, который не может появиться до прорезывания зубов, т.е. быть врожденным, гипоплазия как раз возникает задолго до прорезывания зубов - в период их закладки и минерализации.
Постольку поскольку закладка и основная минерализация МОЛОЧНЫХ зубов происходит во время внутриутробного развития, а точнее на 5-7 неделях беременности,
следует вывод, что основной причиной развития гипоплазии тканей молочных зубов являются изменения, происходившие в организме матери в этот период.
Факторы, провоцирующие гипоплазию МОЛОЧНЫХ зубов:
1. Токсикоз беременной в 1 триместр беременности.
2. Инфекционные заболевания беременной (ОРВИ, краснуха, токсоплазмоз).
3. Диабет у беременной.
4. Хронические заболевания почек у беременной.
5. Прием сильнодействующих лекарственных препаратов матерью в 1 триместр беременности.
ВАЖНО! Прорезывание у ребенка зубов с гипоплазией эмали - высокий риск кариеса!
Важно знать, что на фоне гипоплазии эмали кариес развивается в разы интенсивнее, процесс очень агрессивный, может затрагивать одновременно несколько полостей зубов.
Дети с гипоплазией эмали нуждаются в диспансерном наблюдении врача стоматолога с целью регулярного проведения профилактических мероприятий.
Чем мы и занимаемся регулярно на протяжении 2 лет
Результатом я довольна.
Читайте также






