Гипоплазия эмали: почему возникает?

3 минуты на чтение
3
Обожаю фотопротокол.
Но в сторону лирические отступления Стоматолога-фаната профессии.
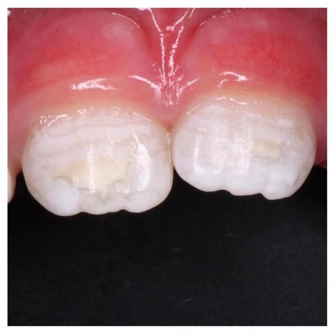
Вам же наверняка интереснее узнать, что за белые разводы на зубах.
Пациентке 8 лет, и постоянные зубки сразу прорезались вот такими
Всегда обращайте внимание при появлении новых зубов у ребенка - это очень важно при постановке диагноза и методах лечения.
Любые пятна, полоски, углубления должны вас насторожить.
Гипоплазия эмали - это некариозное поражение зубов, которое возникает ДО прорезывания в период развития его тканей.
Клинически выделяют следующие формы гипоплазии:
▫пятнистая,
▫чашеобразная (эрозийная),
▫бороздчатая (волнистая) форма,
▫истончение или аплазия эмали (полное отсутствие).
Гипоплазия эмали постоянных зубов чаще всего связана с заболеваниями ребёнка, которые нарушают обмен веществ в организме.
Это болезни ЖКТ, инфекции, гиповитаминозы C, D, E (вплоть до рахита) и другие.
Качество эмали постоянных зубов зависит и от состояния молочных.
Причинами гипоплазии могут стать:
• хронический апикальный периодонтит;
• механическая травма;
• удаление молочных зубов с травмой фолликула постоянного зуба.
Профилактика:
✔Регулярные осмотры каждые 3-4 мес.;
✔Своевременное лечение и удаление временных зубов с осложнённым кариесом.
Лечение:
1. Консервативное - заключается в повышении минерализации твердых тканей зуба (это проведение процедур глубокого фторирования, тщательный домашний уход с применением реминерализирующих средств - Tooth mousse, Rocs minerals);
2. Оперативное - препарирование тканей зуба с последующим восстановлением пломбировочными материалами, а также изготовление виниров и коронок.
Врач - Ольга Новикова.
Тактика в этом случае выжидательная и направлена на маниакальную домашнюю гигиену и регулярные осмотры.
Читайте также






