Флюороз.

3 минуты на чтение
3
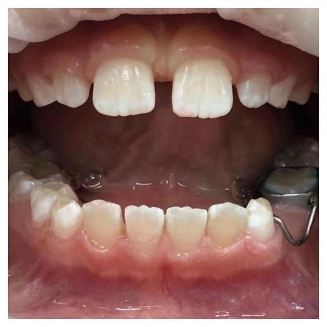
Ему 9.
Его резцы - постоянные.
Остальные зубы - молочные.
Белые пятна, неравномерный окрас – это все флюороз.
Флюороз – порок развития зубов, возникающий при длительном потреблении воды или продуктов с повышенным содержанием фтора.
Часто встречается в местах, где в питьевой (чаще всего водопроводной) воде превышено его показатели.
Например, в подмосковном городе Красногорске это заболевание не редкость.
1. Белые пятна на молочных зубах говорят о том, что в организм мамы во время беременности поступало много фтора.
2. Постоянные зубы – причина кроется в первых трёх годах жизни ребёнка.
ДО ПРОРЕЗЫВАНИЯ зубов.
С флюорозом зубы прорезаются сразу такими.
Не бывает так, что все изначально было хорошо, а потом флюороз появился.
Если похожие признаки появились после этого – это не флюороз!
Это не значит, что мама или ребенок пили воду из-под крана, нет.
Влияние оказывают и блюда, приготовленные с ее использованием – каши, супы и т.д.
На фото - самая легкая форма.
Бывают истории пожёстче: с эррозиями, изъязвлениями, а то и полным отсутствием эмали.
Уздечка верхней губы короткая.
Не буду на этом останавливаться.
Пару постов назад была подробная информация об этом.
3. И последнее – «колечко» на зубе.
Это - «держатель места».
Такое приспособление нужно при преждевременной утрате молочного зуба.
Кольцо фиксируют цементом на зуб.
От него отходят назовём это «лапки».
Они упираются в клык - другой зуб, ограничивающий образовавшийся дефект.
Нужно для того, чтобы зубы со временем не «съезжались» на место удаленного.
Ведь природа не терпит пустоты.
Читайте также






