Что может быть при плохой гигиене полости рта?

3 минуты на чтение
2
Мальчику 8 лет, он наш постоянный пациент.
Уже много чего ему вылечили, но перерыв в наших профосмотрах затянулся на целый год.
И вот.
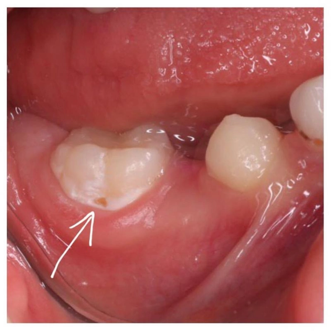
Снова отвратительная гигиена, которая стала причиной серьезного воспаления десны.
К этому привело большое скопление мягкого зубного налета в области "шестерки" на нижней челюсти.
Налет собирается преимущественно в придесневой области зуба и под ним начинает свое разрушительное действие кариес.
Сначала это было просто пятно, а теперь возле десны уже "дырочка".
Это поверхностный кариес, его нужно лечить, чтобы спасти зуб.
Делается это так:
• Обрабатываем зуб и убираем кариес;
• Затем восстанавливаем пломбировочным материалом и полируем.
✓Напомню, "шестерки" сразу прорезываются постоянными примерно в возрасте 6 лет.
А значит они самые долгоживущие зубы и должны служить вам всю жизнь.
Берегите их и все остальные зубки тоже!
Не пренебрегайте домашней гигиеной, чистите зубы тщательно, не ешьте и не пейте после вечерней чистки ничего, кроме простой воды.
И конечно, регулярно проходите профосмотры у стоматолога, чтобы избежать вот таких неприятных сюрпризов.
Читайте также






