Бывает ли гипоплазия эмали у малышей?

3 минуты на чтение
3
Делюсь очередным случаем из практики.
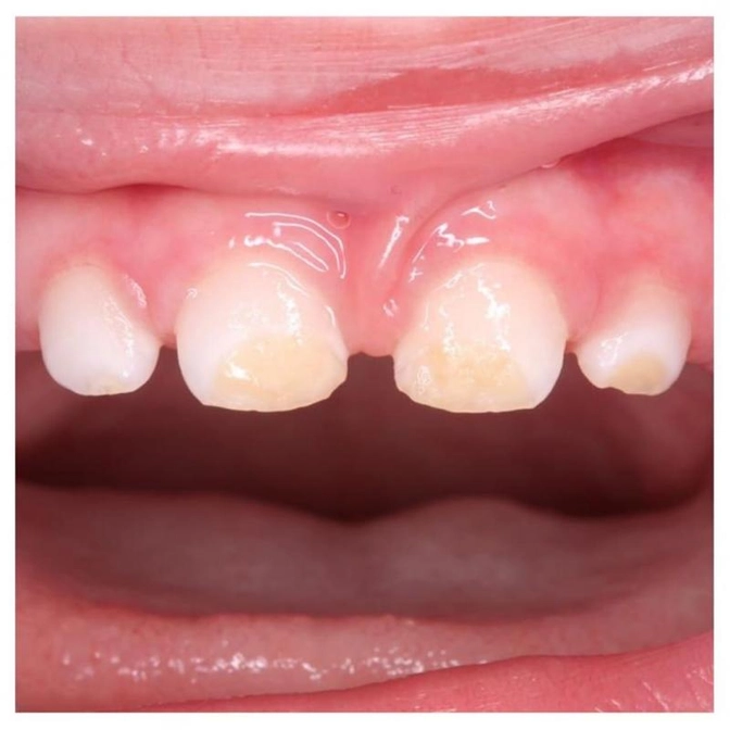
Пациент совсем еще малыш - 1,3 года.
На его зубках гипоплазия, уже осложненная кариесом, к сожалению.
Мальчик не давал маме тщательно рассмотреть зубки и она даже не заметила, что они прорезались уже измененные.
Также ей было трудно приподнимать верхнюю губу из-за очень короткой уздечки (этот вопрос будем решать только после смены 4х центральных резцов).
Гигиена, кстати, тоже из-за этого сильно пострадала.
И, как итог, потребовалось стоматологическое лечение.
Живут они в Италии.
И итальянские стоматологи говорят: "Ой, не надо ничего делать!".
️При этом даже не посмотрели, не оценили состояние зубов и сказали приходить лет в 6, когда зубы полностью сгниют, их удалят, появятся новые, и все будет хорошо.
Это в корне не правильная тактика!
Мы назначили:
✔️Маниакальный домашний уход;
✔️Отказ от НОЧНЫХ кормлений;
✔️Дентальные салфетки в домашний уход;
✔️Пасту с содержанием фтора в количестве 500 ppm;
✔️Провели глубокое фторирование.
Из-за невозможности посещать нас регулярно мы посоветовали по возможности искать специалиста с такой же тактикой лечения по месту жительства.
В целом, динамика должна быть положительная.
В перспективе мы хотим добиться стабилизации кариеса и, если потребуется, через какое-то время провести реставрацию.
Напомню о гипоплазии:
Это недоразвитие (порок) эмали зубов, возникающее до их прорезывания и характеризующееся:
• Изменением цвета зуба.
• Пятна округлой формы белого, реже желтоватого, цвета, с четкими границами и блестящей, гладкой поверхностью (реже - тусклой).
• Изменением структуры - более тяжелая форма, которая проявляется углублениями в эмали там, где их быть не должно.
• Полным отсутствием эмали.
Для правильной диагностики гипоплазии врачу надо понимать, каким зуб появился - сразу таким или изменился после прорезывания.
️Всегда обращайте внимание при появлении новых зубов у ребенка - это очень важно при постановке диагноза и методах лечения.
! Любые пятна, полоски, углубления должны вас насторожить.
Читайте также






