Агрессивный кариес раннего детского возраста

3 минуты на чтение
3
Начинается с появления белых полосок на внутренней стороне верхних передних зубов и/или в пришеечной зоне с внешней стороны.
Разрушение стремительное!
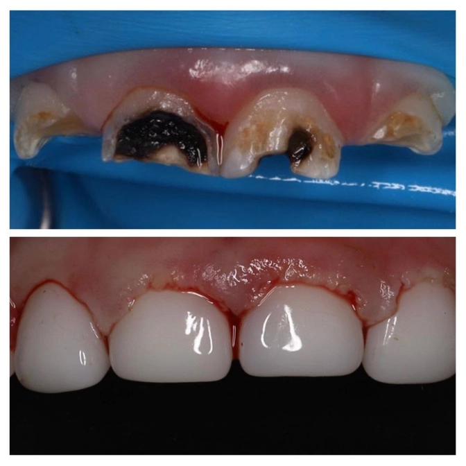
Кариес "сожрал" зубки малыша больше, чем наполовину.
Тянуть-откладывать нельзя, т.к. есть риск их потерять!
Зубки разрушены очень сильно, но их не пришлось удалять! Ольге Царьковой удалось их восстановить!
Теперь малыш может улыбаться без стеснения. А зубки должны прослужить до естественной смены.
Читайте также






