Вколоченный вывих молочного зуба.

3 минуты на чтение
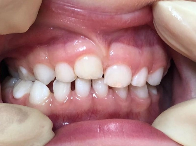
3
Наверняка.
Один центральный зуб выше другого.
Не находите?
Почему так произошло?
Ведь никто, подчеркиваю НИКТО от ЭТОГО на 100% не застрахован
.
Итак, девочке 4,5 года.
Когда ей было 2, она неудачно упала и ударилась зубами.
Один из них частично вколотился в десну.
Называется это - вколоченный вывих.
.
Если, не дай Бог, подобное произошло, в кратчайшие сроки обращаемся к стоматологу.
✓ Врач должен:
•Осмотреть визуально
•Потрогать зуб, оценив подвижность
•Иногда постучать по зубу
•️Сделать снимок.
.
Снимок нужен для того, чтобы исключить перелом корня.
Такое тоже возможно.
И если это произошло, такой зуб требуется удалить.
.
Если перелома корня нет, то зуб требует динамического наблюдения:
приходим на осмотр к врачу, повторяем снимки через 1 месяц - через 3 месяца - через 6 месяцев.
! Здесь важно наблюдение за состоянием корня.
Травма может спровоцировать воспаление и как следствие - преждевременное рассасывание корня.
Если такое происходит, причинный зуб требует удаления.
В противном случае есть риск "перехода" воспаления на постоянный зуб.
Если за указанный выше период корень зуба не изменится, то ура, все обошлось!
У травмированного зуба есть все шансы дослужить ребёнку до момента смены на постоянный зуб.
.
Так случилось и в данном случае.
Сейчас прогноз более, чем благоприятный.
Читайте также






