Скол зуба

3 минуты на чтение
3
В этот раз обошлось без последствий.
Мальчишки играли в футбол и столкнулись.
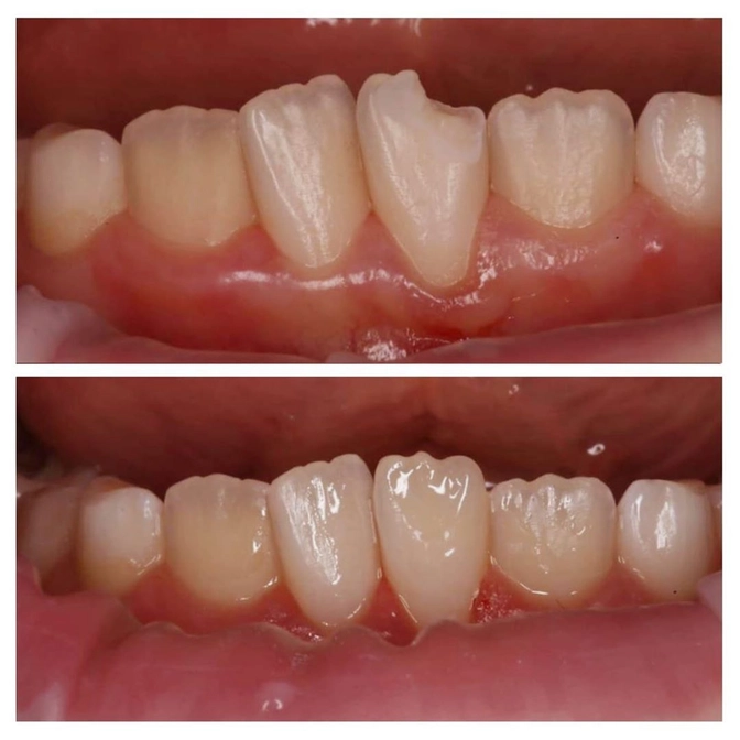
У нашего 10-летнего пациента откололся кусочек нижнего центрального резца.
Скол только на уровне твердых тканей, без обнажения сосудисто-нервного пучка.
Но мальчик жаловался на чувствительность при приеме горячей и холодной пищи.
Прием вела детский стоматолог Гуля Билялова.
✔️Сделала рентгеновский снимок - все ок, корни целые, пострадала только коронка.
✔️Зуб препарирован под местной анестезией;
✔️И полностью восстановлен пломбировочным материалом.
Будьте осторожны при занятиях спортом, соблюдайте меры безопасности.
А если случилась травма, то бегом к стоматологу.
Иногда счет идет на минуты!
Берегите зубки!
Читайте также






