Клинический случай: скол постоянного зуба у ребёнка

3 минуты на чтение
3
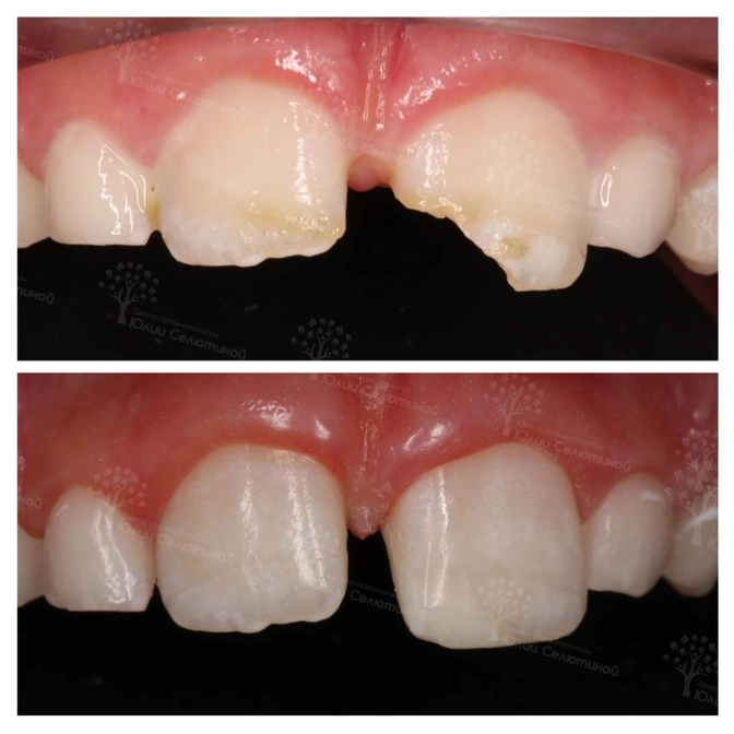
У девочки случилась травма: упала и ударилась об асфальт.
В результате сломала верхний ПОСТОЯННЫЙ зуб! Что имеем? Скол коронки в пределах дентина.
Это значит, что сосудисто-нервный пучок не задет.
Прогноз сохранений зуба "живым" хороший.
А теперь присмотритесь внимательно — зуб восстановлен не композитом.
Родители нашли осколки зуба, собрали и принесли к нам.
Так и надо! Молодцы!
Сколотый зуб и осколки обработали и удалось их склеить.
На все тесты зуб отвечает как живой!
К слову, пациентке 8 лет.
Зуб прорезался недавно, и корни еще не успели до конца сформироваться.
Поэтому обязательно будем мониторить его на предмет воспаления после травмы.
✔️ Осмотры через 1-3-6 и 12 месяцев.
Будьте осторожны при занятиях спортом, соблюдайте меры безопасности.
А если случилась травма, то бегом к стоматологу.
Иногда счет идет на минуты!
В этом случае девочка попала к нам на прием спустя сутки после травмы.
И если вам, не дай бог, пришлось столкнуться с подобной ситуацией, собирайте все осколки, всё, что осталось от зуба, и несите врачу.
Мы уже будем решать, что делать.
Крутой кейс в копилке у стоматолога-терапевта Галины Базылевой!
Читайте также






