Замена несостоятельной пломбы

3 минуты на чтение
3
Не раздумывая, идите к стоматологу!
Скорей всего это вторичный кариес.
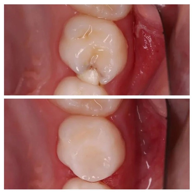
Пациенту 10 лет.
Зуб - "пятерка" - ранее пролечен от кариеса в государственной клинике.
Под пломбой началось повторное поражение зуба - вторичный кариес.
Такое бывает, когда цементная пломба дает усадку, нарушается прилегание ее к тканям зуба и внутрь попадают бактерии, вызывающие своей жизнедеятельностью разрушение зуба.
Темнота вокруг пломбы как раз указывает на то, что ткани стали разрушаться.
Прием вела детский стоматолог Ольга Новикова.
• Старую пломбу убрали;
• Кариес вычистили;
• Полость обработали;
• Зуб отреставрирован пломбировочным материалом;
• Эстетика и функциональность зуба восстановлены.
Советую не пропускать профосмотры, чтобы отслеживать состояние зубов, пломб и других реставраций.
Приходите раз в полгода, даже если ничего не беспокоит.
Профилактика - основа здоровья!
Читайте также






