Все про герметизацию фиссур

3 минуты на чтение
2
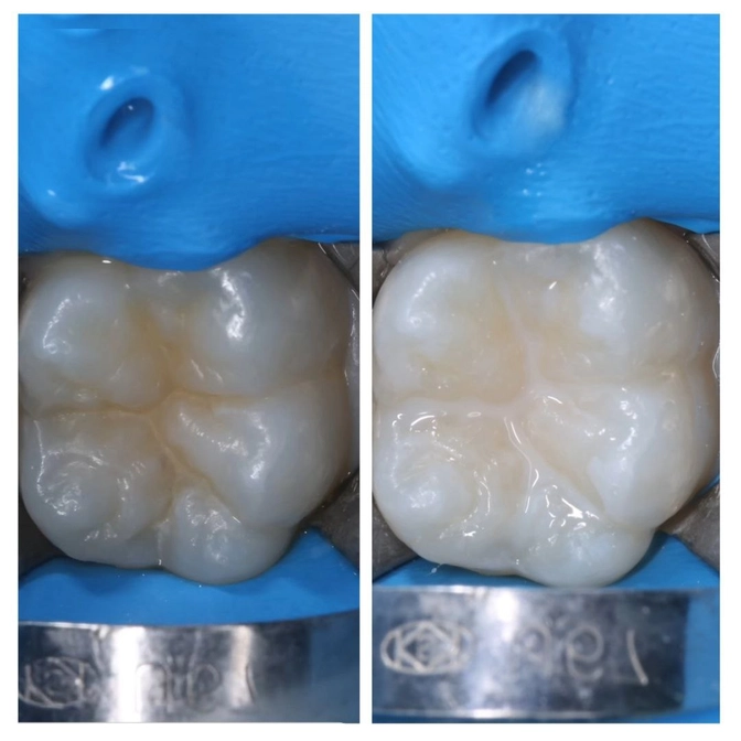
Встречайте одну из работ детского стоматолога #ЦентрСелютиной Марии Штельмах.
Зуб постоянный.
Фиссуры рельефные.
Остатки пищи застревают отлично и досыта "кормят" кариесогенных бактерий.
Но мы положили этому конец с помощью профилактической герметизации фиссур.
После этой процедуры кушать и пить можно сразу.
✔️Герметизация — это запечатывание анатомических бороздок на зубах, которое делают специальным пломбировочным материалом.
Процедура защищает зубы от застревания пищи, скапливания налета, размножения бактерий и снижает риск развития кариеса.
Кому рекомендую герметизацию?
• Детям около 6 лет на постоянных, только что прорезавшихся "шестерках".
• Молочные тоже можно герметизировать, это снизит риск возникновения кариеса.
• Ближе к подростковому возрасту (11–13 лет) появляются "семерки" — действия по профилактике кариеса такие же.
Читайте также






