Снятие тёмного зубного налета у ребёнка

3 минуты на чтение
3
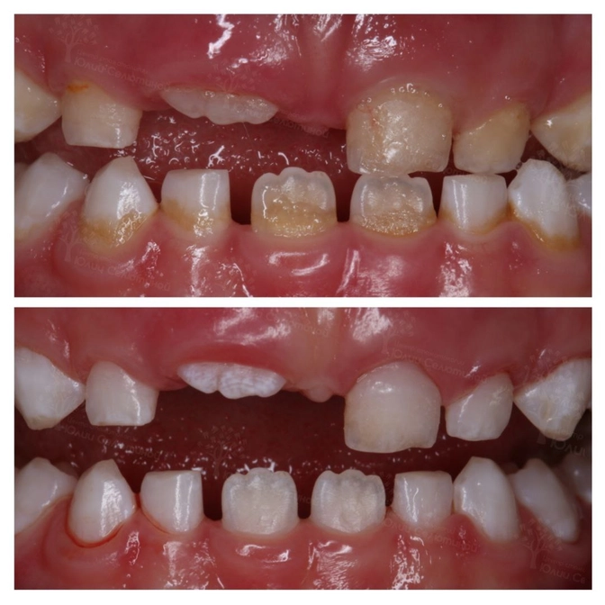
Пациенту 6 лет.
Все зубки были покрыты мягким зубным налетом, а на нижней челюсти огромное скопление зубного камня.
Дома счистить его нереально, он очень плотно крепится к зубам.
Причем камень не образуется за один день.
Мягкий налет сначала наслаивается и не счищается, затем под воздействием минералов слюны твердеет.
Это отличная среда для размножения бактерий, жизнедеятельность которых приводит к кариесу и воспалению дёсен.
Профессиональную гигиену проводила детский стоматолог Ольга Новикова.
▪️Специальной ультразвуковой насадкой она убрала камень;
▪️Очистила зубы от налета;
▪️Отполировала резиночками;
▪️И в завершении покрыла зубки ребенка фторсодержащим средством для профилактики кариеса.
Тщательно следите за домашней гигиеной, чтобы не допускать образования зубного камня.
Не пренебрегайте профилактическими осмотрами у стоматолога.
Это важный этап в сохранении здоровья полости рта.
Приходить нужно, даже если ничего не беспокоит.
Так мы сможем предупредить развитие кариеса и появление других стоматологических проблем.
Читайте также






