Профессиональная гигиена.

3 минуты на чтение
3
Речь пойдёт о профессиональной гигиене у взрослых людей.
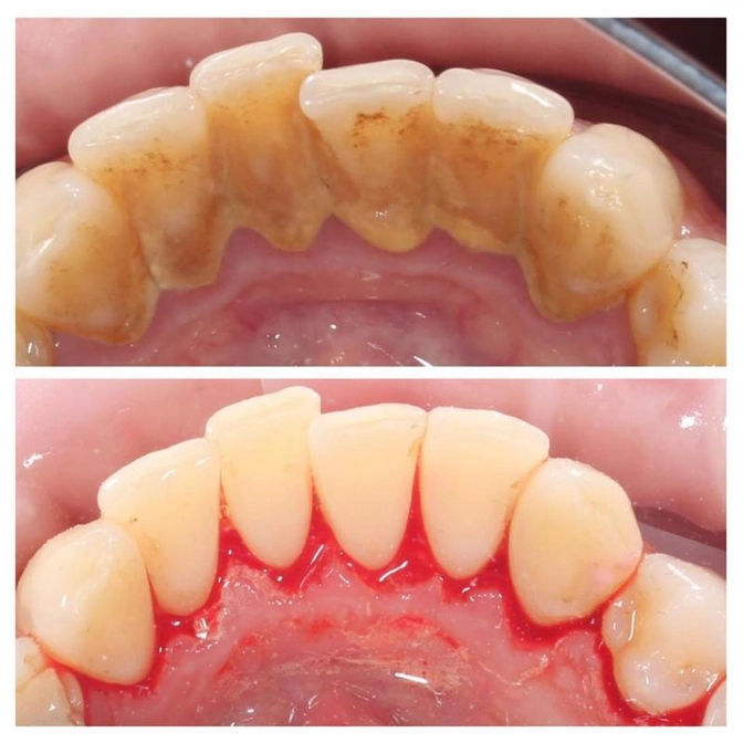
Годами накопленный налёт и зубной камень!
Люди старшего поколения постоянно находят причины, чтобы не идти к стоматологу - то денег нет, то времени, то желания, то страшно, а потом вроде и время и желание и деньги появились, но теперь стыдно.
Гоните себя и своих близких к врачу!
Вот так быть не должно!
Профессиональная гигиена полости рта.
С неё все начинается.
Проводится в несколько этапов:
1. Ультразвуковой наконечник (скалер) снимает зубные камни.
Обратите внимание на дёсны после чистки.
Они кровоточат.
Это не норма.
НО!
От такого количества налёта неудивительно, что десна сказала своё «Фи», воспалившись.
Кровоточивость дёсен - признак воспаления (гингивита)
Но после снятия камня все пойдёт на убыль.
Факт!
2. Далее: Зубы очищаются пескоструйным аппаратом.
Часто это называют Air Flow.
Струя воды со специальным порошком подается под давлением и позволяет очистить зубы от налета, в том числе пигментированного (от чая, кофе, сигарет).
Так зубы становятся заметно светлее, приобретают свой естественный оттенок засчёт удаления темного налета.
Порошок нетоксичен, быстро растворяется и не травмирует зубную эмаль.
3. Все поверхности зубов полируются профессиональной щеткой (иногда резинкой) и пастой.
4. Зубы покрываются фторсодержащим лаком, образуется "пленка", которая насытит их фтором.
После окончания процедуры желательно:
• В течение часа воздержаться от приема пищи и питья;
• Пару дней посидеть на "бесцветной" диете (не употреблять красящиеся продукты - свеклу, вишневый сок, красное вино и др.)
• Если появилась повышенная чувствительность зубов, то наносите 2 раза в день реминерализирующие гели (ROCS MINERALS, Tooth mousse).
• Если на лице остался порошок, смойте его водой (не сухой салфеткой).
Пациент долго откладывал свой визит, но его дочь привела папу буквально за ручку (как видите, не только деток надо уговаривать идти к стоматологу).
Самое главное, что все прошло быстро и безболезненно, пациент здоров и доволен.
Игорю Красноперову браво!
Читайте также






