Профессиональная гигиена полости рта.

3 минуты на чтение
3
Минимум раз в полгода приходите к стоматологу для профосмотра и проведения профессиональной гигиены.
Итак, как вы поняли, пациент на фото взрослый.
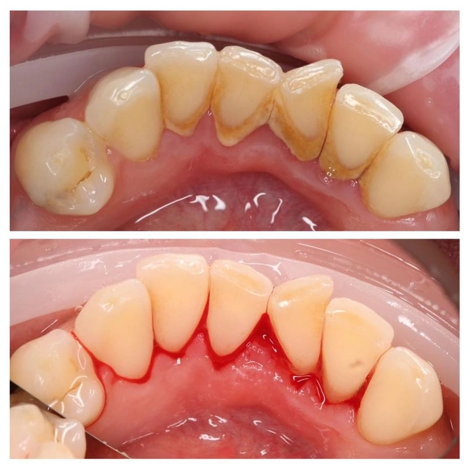
На внутренней стороне зубов образовался зубной камень.
И он не возникает за один день!
Для этого нужны условия, а именно:
• Отложения мягкого налета, которые накапливаются и не счищаются;
• Постоянное воздействие слюны на этот налет (а точнее, минералов, которые в ней содержатся);
• И тогда мягкий налет постепенно затвердевает и плотно крепится к зубу.
Зубной налет и камень — это отличные условия для скопления и размножения бактерий.
Их наличие в больших количествах и продукты их жизнедеятельности негативно влияют не только на зубы, но и на десну, провоцируя ее воспаление - гингивит.
Одно из проявлений гингивита - кровоточивость, которую вы можете наблюдать на втором фото. Перед вами результат сразу после проведения гигиены и снятия зубного камня.
Счистить зубной камень дома нереально!
Вы просто можете повредить зубную эмаль и десны.
Работу проводила стоматолог-терапевт Олеся Ибрагимова.
✔В условиях стоматологического кабинета провела пациенту профессиональную гигиену и сняла зубной камень специальным ультразвуковым наконечником.
✔После процедуры слизистые обработаны антисептически и на дом назначены препараты для противомикробной терапии.
Советую не доводить до образования камня, а следить тщательнее за домашней гигиеной и регулярно приходить к стоматологу для профгигиены.
Читайте также






