Профессиональная гигиена полости рта у взрослого. До/После

3 минуты на чтение
3
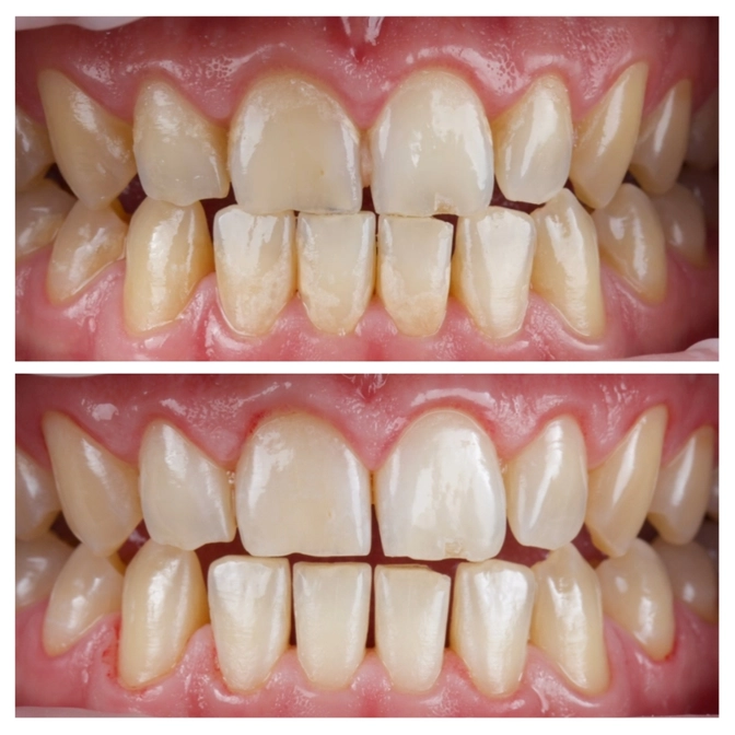
Обратите внимание на промежутки между зубами обоих зубных рядов.
До проведения профессиональной гигиены их заполняли зубные камни.
А на фото После мы видим, что там должно быть пустое пространство.
Пациент взрослый.
Пришел для проведения профессиональной гигиены к гигиенсту.
На зубах не было немного скопления мягкого налета, дома его счистить легко.
А вот с зубным камнем так не выйдет.
Он минерализован и плотно прикреплен к зубам.
❌Снять зубной камень в домашних условиях нереально.
Даже не пытайтесь, а то рискуете повредить себе зубы.
✔️В кабинете специальной насадкой наш гигиенист убрала с зубов пациента весь камень и мягкий зубной налет.
✔️Зашлифовала и отполировала зубы до блеска.
✔️Назначила пациенту средства для домашнего ухода за зубами и дала необходимые рекомендации.
Если вовремя не удалить зубной камень, то рано или поздно это приведет к неприятным последствиям.
• Это прекрасная среда для размножения болезнетворных бактерий, которые являются причиной кариеса;
• Зубной камень может давить на десны и вызывать их кровоточивость;
• Способствует образованию зубодесневого кармана, в котором могут скапливаться остатки пищи, вызывая воспалительные процессы в десне;
• Может развиться гингивит и пародонтит.
Рекомендую не усугублять ситуацию и регулярно приходить на профессиональную гигиену.
Читайте также






