Правила длмашннй гигиены для детей

3 минуты на чтение
3
Поощряйте ребёнка за самостоятельность, но не забывайте дочищать ему зубки после.
От этого зависит его здоровье!
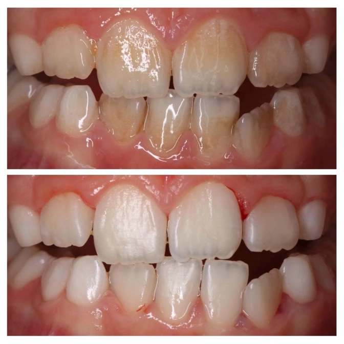
Чистка зубов у этого ребенка явно страдает.
А вот после профессиональной гигиены просто блеск, правда?
Пациент пришел к нашему детскому стоматологу Ольге Новиковой.
✔️Проведена профессиональная гигиена;
✔️Счистили налет специальной пастой и щеткой;
✔️Отполировали всё резиночками;
И зубки вновь сверкают!
Сохраняйте памятку по правилам домашней гигиены:
✔️Дочищайте зубы ребенку вплоть до 7-летнего возраста, т.к. кисть руки у детей еще недостаточно развита и им сложно доставать до всех участков на зубах. Если видите, что ребенок плохо справляется, помогайте и в более старшем возрасте;
✔️Движения ВЕРТИКАЛЬНЫЕ, выметающие от десны к зубу.
✔️Чистите зубы два раза в день — утром и вечером.
✔️Регулярно меняйте зубные щетки всех членов семьи.
✔️Ограничьте количество перекусов, избегайте сладких и липких продуктов.
✔️Используйте пасты с фтором — он помогает в профилактике зубных заболеваний и укрепляет эмаль.
✔️Посещайте детского стоматолога каждые три месяца.
У детей все процессы протекают гораздо быстрее, чем у взрослых.
❤Профилактика лучше любого лечения!
Читайте также






