О важности налаженной гигиены полости рта у детей.

3 минуты на чтение
3
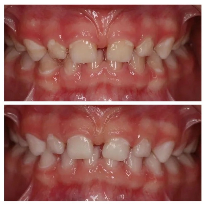
Малышу 3 года.
И на зубках обильный мягкий налет.
Профессиональную гигиену проводила детский стоматолог нашей команды Ольга Новикова.
✔Налет убрала,
✔Зубки отполировала резиночками.
А теперь присмотритесь внимательно - видите белые пятна на зубках?
Это кариес в стадии пятна.
Если его не лечить и не принимать никакие меры, то он продолжит разрушать зубы и появятся полости, которые нужно будет пломбировать.
Поэтому, настоятельно советую не пренебрегать домашней гигиеной и регулярными профосмотрами у стоматолога.
Сохраняйте еще несколько моих рекомендаций для того, чтобы избежать появления кариеса или стабилизировать его в стадии пятна:
• маниакальный домашний уход,
• налаживайте гигиену,
• делайте аппликации реминерализирующими средствами,
• регулярно проходите профосмотры и курсы фторирования у врача,
• налаживайте питание ребенка - это тоже очень важно (минимизируйте перекусы, следите за качеством еды, не ешьте ночью и после вечерней чистки).
❗Учитесь договариваться с малышами - ведь нет ничего важнее их здоровья!
Читайте также






