О регулярности проф гигиены

3 минуты на чтение
3
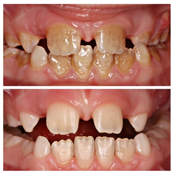
Профессиональная гигиена нужна:
• Взрослым — 1 раз в полгода;
• Детям — 1 раз каждые 3 месяца, т.к. все процессы у детей протекают быстрее.
• При ношении брекетов минимум 1 раз в 3 месяца, т.к. чистка зубов в этот период затрудняется.
Регулярная профессиональная гигиена помогает предупредить и избежать многих проблем со здоровьем полости рта и их дорогостоящего лечения.
К тому же, хороший врач всегда даст вам грамотные рекомендации для домашнего ухода, которые нужны именно в вашей ситуации.
Читайте также






