Как железо влияет на зубы?

3 минуты на чтение
3
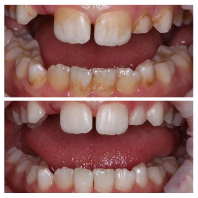
Внимательно посмотрите на зубки ребенка, видите этот характерный налет?
Он имеет специфичный вид, легко диагностируется, потому что похож на ржавчину.
Такой пигментированный налет возникает от приема препаратов железа.
Это такой "побочный" эффект у них.
Вам могли назначить, например:
✔️Актиферрин;
✔️Тардиферрин;
✔️Мальтофер.
Самостоятельно счистить такой налет сложновато и с профессиональной чисткой тоже лучше повременить до отмены препарата.
Иначе вскоре он снова «нарастет». Но если у вас достаточно долгий курс приема препаратов железа (например, полгода), то убирать налет все-таки приходите, т.к. под ним может появиться кариес.
А это намного хуже!
На фото мальчик 8 лет.
Но причина его пигментированного налета другая, хотя тоже связана с железом.
Препараты ему никакие не назначали.
Все дело в водопроводной воде.
Там, где он живет, она перенасыщена железом, а родители мальчика постоянно используют воду для приготовления пищи, после чистки зубов полощут рот и тп .
Поэтому такая картина может наблюдаться у всех членов его семьи.
Читайте также






