Как часто нужна профессиональная гигиена полости рта?

3 минуты на чтение
4
• Взрослым — 1 раз в полгода;
• Детям — 1 раз каждые 3 месяца, т.к. все процессы у детей протекают быстрее.
• При ношении брекетов может потребоваться чаще, т.к. чистка зубов в этот период затрудняется.
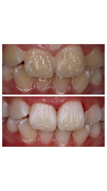
❓Что дает профессиональная гигиена полости рта?
✔️очищение зубов от налёта и зубного камня;
✔️удаление пятен, появившихся от еды/напитков с пищевыми красителями (в т.ч. натуральными: кофе, чай, ягоды и т.д.);
✔️естественный цвет зубов и гладкость эмали;
✔️укрепление зубной эмали;
✔️снижение риска развития кариеса и заболеваний пародонта;
✔️свежее дыхание.
❗Не нужно ждать и откладывать на потом.
Промедление чревато разрушением зубов, болью, повышением чувствительности и воспалением десен.
Регулярная профессиональная гигиена помогает предупредить и избежать многих проблем со здоровьем полости рта и их дорогостоящего лечения.
К тому же, хороший врач всегда даст вам грамотные рекомендации для домашнего ухода, которые нужны именно в вашей ситуации.
На видео работа детского стоматолога Ольги Новиковой.
Читайте также






