Хирургическое лечение рецессии десны

3 минуты на чтение
5
Случается по разным причинам и лечится в основном хирургически.
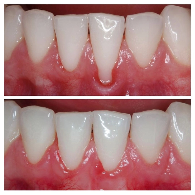
Пациентке 26 лет.
В области нижнего центрального резца начала убывать десна.
Это называется рецессия (от лат. «recessus» — отступление).
Почему так случилось?
Во время приема пищи десна травмировалась.
После чего слизистая была отечна, кровоточила и была болезненна.
Девушка обратилась в клинику, где ей неаккуратно провели инструментальную обработку.
Долгое время после этого десна не заживала и со временем началась убыль.
Биотип десны сам по себе тонкий.
Рецессия травматического генеза.
Были жалобы на повышенную чувствительность зуба, а также на эстетику.
Прием вела стоматолог-хирург #ЦентрСелютиной Кристина Газарян.
Лечение в данном случае хирургическое.
Была проведена пластика мягких тканей туннельной методикой с использованием соединительно-тканного трансплантата с нёба.
Если проще, то взяли кусочек ткани с нёба пациентки и пересадили в область рецессии.
Затем всё ушивается.
Операция длилась 1 час.
Делается всё под местной анестезией.
Полное заживление спустя полгода.
Читайте также






