Зубы под винирами портятся!

3 минуты на чтение
3
И зря❗
Потому что те, кто уже решился на улыбку мечты, все как один говорят: «И что я раньше не сделал?»
Да, зубы обтачиваются.
Но виниры наоборот, защищают их от внешних воздействий — зубного налета, влияния бактерий и кислот.
А клей, на который фиксируются виниры, выделяет ионы фтора и, тем самым, дополнительно укрепляет эмаль.
Риск возникновения кариеса сводится к минимуму, но если домашняя гигиена неудовлетворительная, то никакой винир не спасет зуб от разрушения.
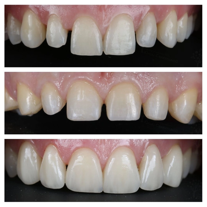
А теперь про кейс.
Наша пациентка давно мечтала улыбаться открыто и без стеснения.
Зубы были неидеальны.
Но мы эту проблему решили.
Сначала исправили прикус и сделали отбеливание.
Затем фронтальную группу зубов верхней челюсти перекрыли винирами — от клыка до клыка.
Результат????, пациентка в восторге!
Керамику e.max не отличить от родных зубов.
Всё сделано настолько изящно и эстетично, что никому и в голову не придет, что это неродные зубы.
Невероятно красиво.
Как вам?
Это всё доктор Фоменко сделал, наш прославленный ортопед-виртуоз.
Если у вас имеются вопросы по эстетике или здоровью зубов, приходите на консультацию.
Врач проведет диагностику и предложит подходящие вам варианты лечения.
Читайте также






