Зубы "мудрости"

3 минуты на чтение
3
Зубами мудрости ("восьмерками") называют последние жевательные зубы.
"Восьмёрки" - потому что восьмые, если вести счёт от центрального резца.
А "мудрости", потому что прорезаются в более зрелом возрасте, когда, хочется верить, человек приобретает какой-никакой жизненный опыт, мудрость.
Ну или потому, что эти зубы часто «мудрят».
В 10-15% случаев зубы мудрости могут вообще не прорезаться.
Происходит это из-за того, что изначально не заложились зачатки.
В ситуации, когда зуб мудрости не заложился, не стоит бить тревогу.
Это вовсе не означает, что с вами что-то не так.
Скорее, вам даже повезло.
Потому что в 80% случаев этим зубам просто не хватает места в челюсти, и они, прорезаясь, смещают все остальные зубы.
Это приводит к скученности зубов.
И те, у кого возникает такая ситуация, вынуждены проходить ортодонтическое лечение (брекеты)
Случается, что зачатки зубов мудрости находятся глубоко в челюсти и упираются в корни соседних зубов.
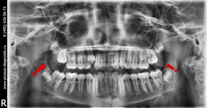
Такие зубы называются ретинированными.
Если же зуб прорезывается не в зубном ряду, а куда-то в сторону, такой зуб называется дистопированным.
Прорезывание восьмёрок происходит во взрослом возрасте.
Сформированная зрелая кость затрудняет этот процесс, что делает его болезненным.
На сегодняшний день зубы «мудрости» считаются своего рода рудиментами.
Еще 10 000 лет назад восьмерки прорезывались у каждого человека, служили для пережевывания сырого мяса.
Сейчас же в третьих молярах нет такой необходимости, поэтому все больше людей живут без их зачатков
ЭВОЛЮЦИЯ.
Для ранней диагностики достаточно уже в возрасте 10-12 лет посетить своего стоматолога и сделать ортопантомограмму (снимок всех зубов).
Несколько картинок для понимания и закрепления материала.
Перед длительным лечением на брекет-системе мы рекомендуем удаление зачатков восьмых зубов.
Читайте также






