Зубной камень у детей

3 минуты на чтение
3
Он "вырастает" из обычного мягкого налета.
Если его не счищать, то под воздействием минералов слюны он будет затвердевать.
И если налет можно счистить с зуба легко, то камень крепится очень плотно.
А под ним размножаются бактерии, которые могут разрушать зуб и вызывать воспаление десны (гингивит).
❗Зубной камень снимает стоматолог.
Не пытайтесь делать это самостоятельно дома, иначе повредите эмаль.
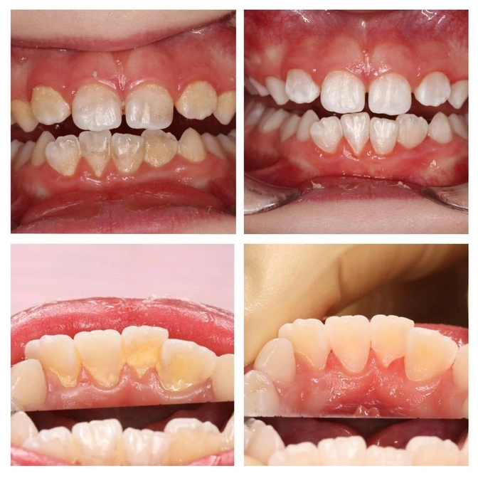
Пациенту на фото 7 лет.
Профессиональную гигиену ему проводила детский стоматолог Мария Штельмах.
✔️Пигментированный налет счистила;
✔️Камни на внутренней поверхности нижних резцов убрала специальным ультразвуковым наконечником;
✔️Зубы очищены специальной пастой, щетками и абразивными полосками;
✔️Отполированы резинками;
✔️В конце гигиены наносим укрепляющий гель для профилактики кариеса.
В результате зубки ребенка стали на три тона белее!
Шикарный эффект от простой процедуры!
Читайте также






