Зубной камень у детей

3 минуты на чтение
3
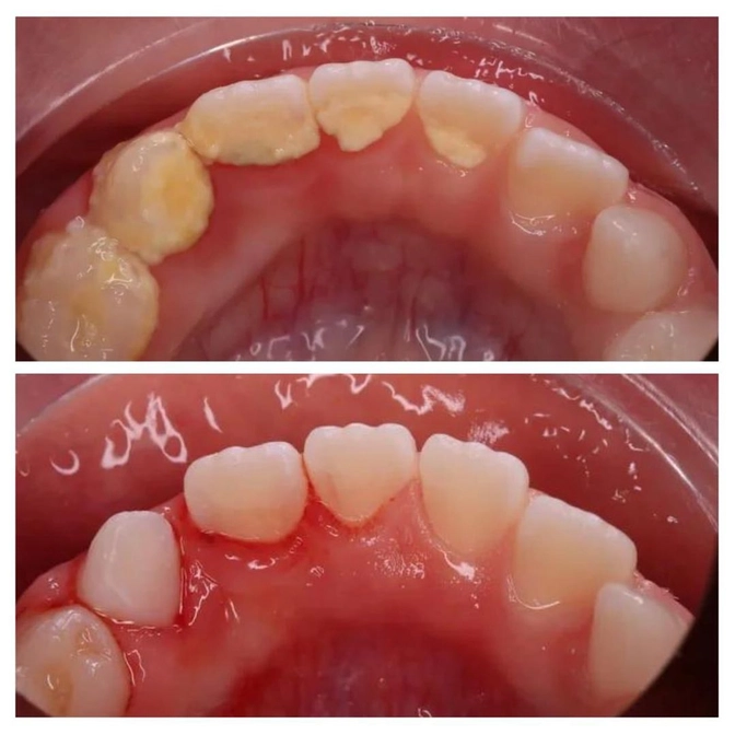
На нижних зубах с внутренней стороны образовался зубной камень.
Как это могло получиться?
Да элементарно!
Гигиена с внутренней стороны зубов хуже, чем с внешней.
Налет там скапливается, наслаивается, а минералы, содержащиеся в слюне, помогают ему затвердевать и превращаться в зубной камень.
Именно в области нижних резцов находятся большие слюнные протоки, поэтому эту зону нужно тщательно очищать от налета.
❌Снять зубной камень в домашних условиях нереально.
Даже не пытайтесь, а то рискуете повредить себе зубы.
В кабинете специальной насадкой детский стоматолог Ольга Новикова убрала с зубов пациента весь камень, все очистила и заполировала.
На фото видна небольшая кровоточивость десны.
Это гингивит — воспаление краевой части десны из-за зубного камня.
При гингивите десны болят и кровоточат во время чистки или еды.
Но ни в коем случае нельзя отказываться от домашней гигиены, иначе проблема только усугубится!
✔️Важно соблюдать регулярную и тщательную гигиену полости рта.
✔️Также будут эффективны полоскания отварами аптечных трав — коры дуба или ромашки.
Читайте также






