Зубной камень на молочных зубах.

3 минуты на чтение
3
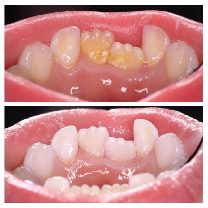
Пациентке 6 лет.
Нижние зубки уже сменились на постоянные, но имеется скученность.
Из-за этого гигиена страдает, и с внутренней стороны зубов образовался зубной камень.
Счистить его дома нереально!
Его попросту даже увидеть трудно.
Напоминаю, если не счищать мягкий налет с зубов, со временем под воздействием минеральных солей слюны он затвердевает и "каменеет", наслоение все новых бактерий приводит к образованию зубного камня.
Удалять его потом только в условиях стоматологической клиники.
✔Камни убраны с помощью ультразвукового аппарата;
✔Зубки очищены от мягкого налета;
✔Отполированы резиночками и вкусной пастой.
Девочку направили к ортодонту для выяснения дальнейших действий.
Удаление зубного камня - процедура быстрая и практически безболезненная, но советую не доводить до такого, а следить тщательнее за домашней гигиеной детских зубов.
Читайте также






