Зачем счищать налет Пристли?

3 минуты на чтение
3
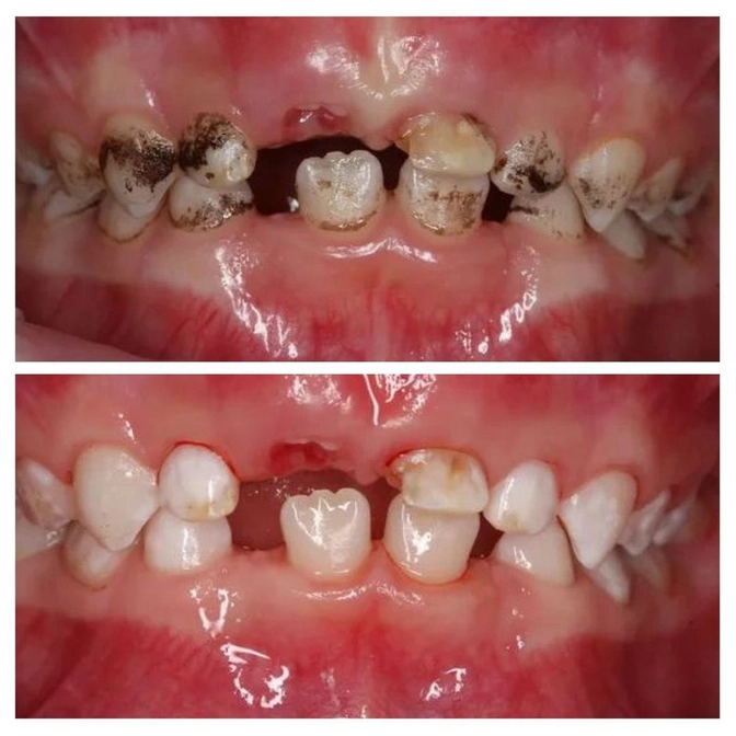
Ребенку 5 лет.
На зубах налет Пристли и множественный кариес.
Но Ольге Новиковой такое не страшно.
✔Для начала она сделала профессиональную гигиену:
• Налет сняла.
• Затем все поверхности зубов отполировала профессиональной щеткой (иногда резинкой) и пастой.
Конечно, нельзя сказать, что улыбка получилась просто блеск, но мы будем работать в этом направлении.
Всему своё время.
✔Налет Пристли - специфический, появляется обычно у маленьких детей и к взрослому возрасту самостоятельно проходит.
Но это не значит, что его можно оставлять без внимания!
Как раз наоборот.
Его обязательно нужно счищать, т.к. под ним может образовываться кариес, и зубки будут разрушаться.
У этого пациента именно так и случилось, увы.
Счистить налет Пристли в домашних условиях нереально.
Требуется профессиональная гигиена полости рта в кабинете стоматолога.
После этой процедуры зубки становятся белыми.
Но черный неприятный налет, как правило, появляется вновь.
Поэтому периодически процедуру необходимо повторять.
Появление налета Пристли чаще всего связано с нарушениями в ЖКТ.
Поэтому при наличии налёта Пристли необходимо посетить педиатра и гастроэнтеролога.
Читайте также






