Возраст пациента и сроки лечения на брекет-системе: какова связь?

3 минуты на чтение
3
Поэтому не имеет значения, сколько вам лет, если есть показания к исправлению прикуса.
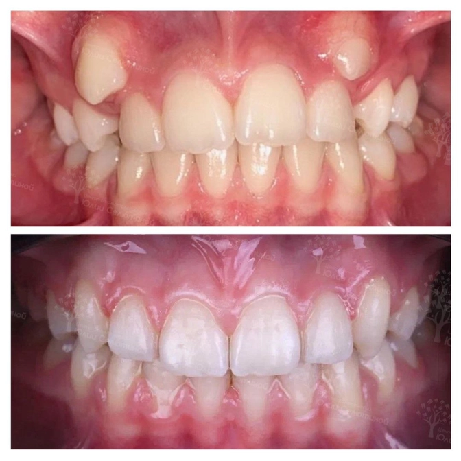
Пациентке 12 лет.
Это самый пик роста и наиболее благоприятное время для ортодонтического лечения.
Жалобы были на неровные зубы и «торчащие клычки».
В этом случае нам нужно было создать место в верхнем зубном ряду и опустить туда клыки.
Наш ортодонт Наргиз Исмайлова проводила лечение на металлической брекет-системе Damon.
Результата достигли всего за 1,5 года❗
И всё это без расширяющих пластинок и мини-винтов.
Пациентка вовремя обратилась к врачу, поэтому прогноз для лечения был самый благоприятный.
И доктор Исмайлова пополнила свою копилку очередным крутым кейсом, браво!
Срок лечения на брекет-системе рассчитывается индивидуально для каждого пациента.
• Для исправления небольшого дефекта требуется примерно 1 год.
• В период сменного прикуса (до 12 лет) можно справиться и за 6 месяцев.
• В 12–15 лет в период активного роста и развития челюстей — 1–1,5 года.
• При тяжелой патологии прикуса ортолечение может растянуться на 3 года и дольше.
Для исправления прикуса нет ограничений по возрасту.
Если есть показания, то не стоит тянуть.
Потому что из-за патологии смыкания могут возникнуть проблемы с внешним видом, контуром лица, здоровьем височно-нижнечелюстного сустава и даже осанкой.
Читайте также






