Восстановление трех центральных зубов у взрослого пациента

3 минуты на чтение
3
Работа сложная, комплексная и требует максимальной точности.
Ведь эстетика здесь на первом месте.
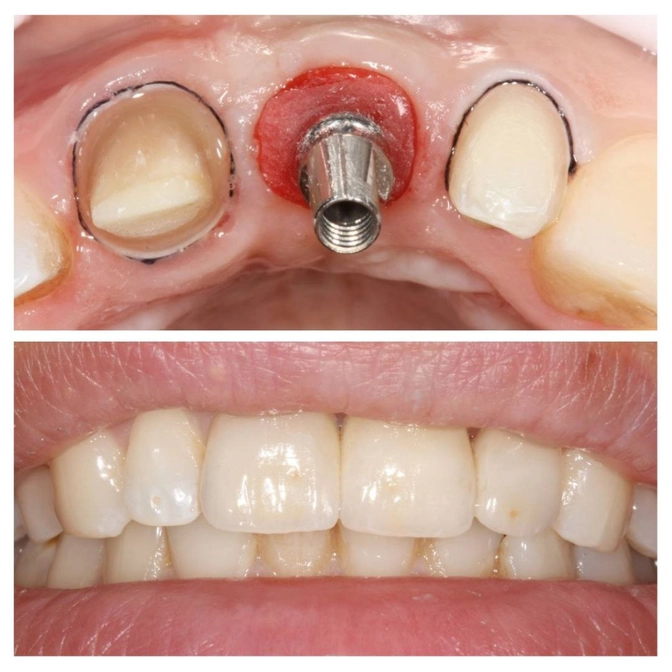
У пациентки случилась травма передних зубов.
• На один центральный резец требуется установить коронку;
• Второй и вовсе заменяем имплантом + коронкой;
• Боковой резец решено покрыть виниром, т.к. на нем имеется скол режущего края.
Итого реставрируем 3 зуба, и они не должны отличаться от родных — это крайне важно!
✔️Зафиксировали вид зубов на фото,
✔️Подготовили,
✔️Сняли слепки,
✔️Определили цвет будущих реставраций по специальной шкале,
✔️И всё это отправили в лабораторию.
Техники постарались и вышло просто вау!
С родных зубов пациентки скопировали все мельчайшие детали — даже точки на коронках точно такие же, как на эмали своих зубов.
Идеалити.
Пациентка довольна, а работа доктора Фоменко как всегда на высоте!
Читайте также






