Тёмный налёт у ребёнка: что это?

3 минуты на чтение
3
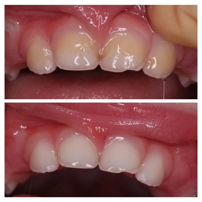
В нашем случае ребенок проходил курс антибактериальной терапии.
А после — пришел в #ЦентрСелютиной на профессиональную гигиену к детскому стоматологу Алёне Долгалёвой.
Налет после приема антибиотиков счистить самим практически невозможно.
А, как вы помните, налет — это отличный "дом" для бактерий.
Под ним они отлично себя чувствуют, размножаются и ведут свое разрушающее действие.
✔️При приеме антибиотиков соблюдайте правила гигиены и питания, не делайте скидок на болезнь, чтобы лечь спать с нечищеными зубами.
После выздоровления меняйте щетку на новую.
✔️Доктор Долгалёва счистила налет специальной щёткой и пастой;
✔️Поверхность зубов заполировала — это очень важный момент!
Читайте также






