Сверхкомплектный зуб

3 минуты на чтение
2
Занимается гимнастикой и балетом
А ещё ее няня последнее время стала баловать аскорбинкой.
Полезно же.
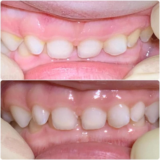
Но налёт на зубах не заставил себя долго ждать.
Бывает.
Провели профессиональную гигиену.
Теперь все беленько-красивенько.
Но не это самое интересное.
Давайте дружно посчитаем, сколько у девочки резцов (так называются зубы центральной группы.)
Правильно, ПЯТЬ!
А должно быть ЧЕТЫРЕ.
У кого-то не хватает, а у кого-то перебор.
Лишний - это сверхкомплектный зуб.
В данном случае придерживаемся выжидательной тактики.
Хотя к ортодонту рекомендовано обратиться уже сейчас.
Обратите внимание на прикус.
Нижние зубы хоть кто-нибудь разглядел?
Я нет.
Ну если только чуть-чуть
Во всяком случае при сомкнутых зубах.
А все потому, что у девочки ярко-выраженный ГЛУБОКИЙ прикус.
В ближайшее время идём к нашему ортодонту Оксане Журавской.
Как будут точно известны ее рекомендации - дам знать.
Тогда же и решим, нужно ли сейчас делать ортопантомограмму - снимок всех зубов.
Заодно выяснить, нет ли среди зачатков постоянных зубов лишних.
Всякое может быть.
Скорее всего, сейчас девочке потребуется ношение специального аппарата.
Называется трейнер.
Читайте также






