Сверхкомплектный зуб: нужно ли что-то делать?

3 минуты на чтение
3
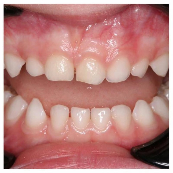
! На верхней челюсти 5 резцов!
Должно быть 4, напоминаю
Сразу это в глаза не бросается, но самые внимательные увидели и посчитали.
Что еще?
- Смещена центральная линия - это видно уже явно.
Нижняя челюсть смещена влево - это тенденция к формированию неправильного прикуса.
И вот с этим, конечно, нужно будет работать.
Пациент наш живет в Бельгии.
Приезжает раз в полгода на протяжении уже больше 2х лет.
Поэтому, мы регулярно проводим ему профилактические мероприятия, чистку и в перспективе запланировали визит к ортодонту, чтобы определиться с дальнейшим лечением.
Ориентир 5-6 лет.
Будем делать ортопантомограмму - снимок всех зубов
Пока это ни к чему..
Читайте также






