Сроки прорезывания зубов и их индивидуальные особенности

3 минуты на чтение
3
И нет, это не кликбейтный заголовок, а чистая правда.
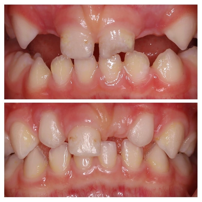
Присмотритесь к верхнему фото.
Ничего не смущает?
Мальчику на момент съемки верхнего фото - 2 года
В апреле они приехали к нам лечиться после онлайн-консультации со мной.
Работы было много и мне удалось найти к малышу подход.
Он стойко всё выдержал, без криков и недовольства.
Центральный резец пришлось удалить, т.к. из-за травмы над ним образовался свищ.
Это значит, что внутри было воспаление, которое организм таким образом эвакуировал наружу, чтобы вывести гной.
И всё это БЕЗ НАРКОЗА❗
Но это не самое интересное да и не впервые все-таки в моей практике.
Суть тут совсем в другом.
Заметили, что на верхнем фото не хватает верхних боковых резцов?
По снимкам мы увидели, что молочных нет даже в зачатке.
Зато были зачатки постоянных.
В ноябре, спустя полгода, они прилетели к нам снова на профилактический прием.
За что им огромное спасибо!
Потому что я сейчас прием не веду, пока в декрете, и очень радуюсь, когда доверяют моим докторам.
Принимала их детский стоматолог Мария Штельмах.
А теперь внимание на нижнее фото — у мальчика прорезались ПОСТОЯННЫЕ боковые резцы!
❗В ТРИ ГОДА!
Такого я еще точно не видела.
Это не хорошо и не плохо, просто такая особенность у ребенка.
Теперь за этими зубами нужен особо тщательный уход.
Они прорезались здоровыми, без гипоплазии.
Но находились в челюсти непродолжительное время, а значит слабо минерализованы и более подвержены кариесу.
Поэтому, подключаем чистку, следим за питанием, проводим регулярные курсы фторирования у стоматолога.
Следить за такими зубками нужно более внимательно, т.к. меняться они уже не будут, а значит должны прослужить всю жизнь этому маленькому человеку.
Читайте также






