Снятие пигментированного налета в кабинете стоматолога

3 минуты на чтение
3
Он плотно крепится к зубам и счистить его дома не получится.
Поэтому, рекомендую не пропускать профосмотры и регулярно проводить профессиональную гигиену.
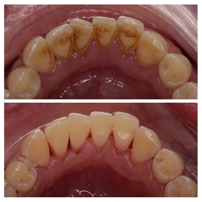
Итак, как вы поняли, пациент на фото взрослый.
На внутренней стороне зубов плотный пигментированный налет.
Также, есть зубной камень.
И он не возникает за один день!
Для этого нужны условия, а именно:
• Отложения мягкого налета, которые накапливаются и не счищаются;
• Постоянное воздействие минералов слюны на этот налет;
• В результате он постепенно затвердевает и плотно крепится к зубу.
Зубной налет и камень — это отличные условия для скопления и размножения бактерий.
Своей жизнедеятельностью они негативно влияют не только на зубы, но и на слизистую.
Так может возникнуть воспаление и кровоточивость десен.
Счистить зубной камень дома нереально!
Вы просто можете повредить зубную эмаль и десны.
Работу проводила гигиенист #ЦентрСелютиной Юлия Крыга.
✔️В условиях стоматологического кабинета провела пациенту профессиональную гигиену и сняла зубной камень специальной насадкой — скалером.
На фото После видим, что между зубами появились промежутки.
А раньше они были заполнены минерализованными отложениями.
Рекомендую не доводить до образования камня, а следить тщательнее чистить зубы дома и регулярно приходить к стоматологу для профгигиены.
Читайте также






