Сколько времени занимает брекет-лечение?

3 минуты на чтение
3
Но корректировать положение зубов МОЖНО и НУЖНО в любом возрасте, если есть показания.
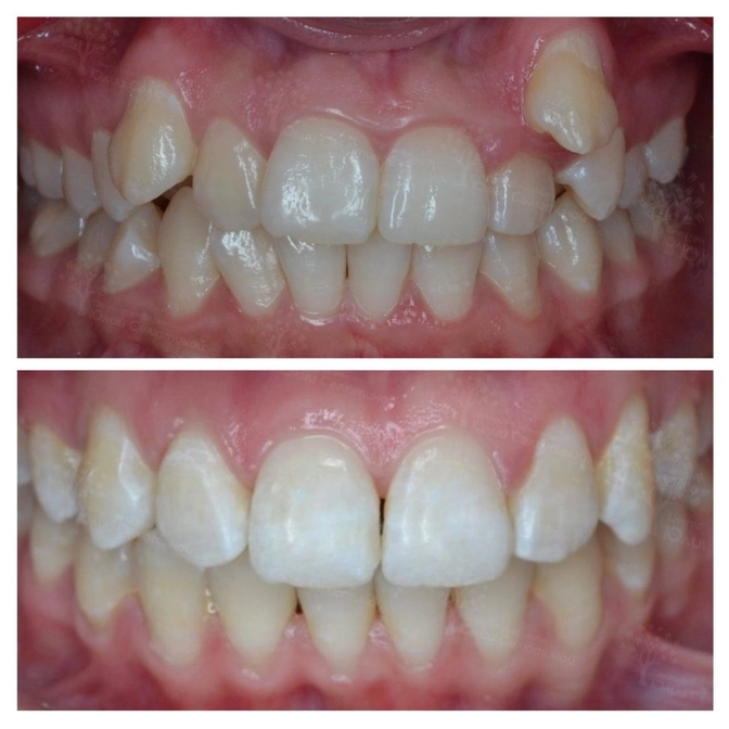
Пациентке 16 лет.
Это очень благоприятное время для ортодонтического лечения.
Жалобы были на неровные зубы и торчащие клыки.
В этом случае нам нужно было создать место в верхнем зубном ряду и опустить туда клыки.
В другой клинике для этого предлагали удалить ЗДОРОВЫЕ «четверки»!
Но нашему ортодонту Наргиз Исмайловой это не понадобилось.
Она проводила лечение на металлической брекет-системе.
Результата удалось достичь за 2 года.
Пациентка вовремя обратилась к врачу, поэтому прогноз для лечения был самый благоприятный.
И доктор Исмайлова пополнила свою копилку очередным крутым кейсом, браво!
Срок лечения на брекет-системе рассчитывается индивидуально для каждого пациента.
• Для исправления небольшого дефекта требуется примерно 1 год.
• В период сменного прикуса (до 12 лет) можно справиться и за 6 месяцев.
• В 12–15 лет в период активного роста и развития челюстей — 1–1,5 года.
• При тяжелой патологии прикуса ортолечение может растянуться на 3 года и дольше.
Для исправления прикуса нет ограничений по возрасту.
Если есть показания, то не стоит тянуть.
Потому что из-за патологии смыкания могут возникнуть проблемы с внешним видом, контуром лица, здоровьем височно-нижнечелюстного сустава и даже осанкой.
Читайте также






