Расщелина верхней губы и альвеолярного отростка: чем чревато, с точки зрения стоматологии?

3 минуты на чтение
3
Ей 4 года и она четвертый ребенок в семье, старшие ходят ко мне на прием уже лет 10.
Мама узнала о патологии на 34 неделе беременности.
Называется - левосторонняя расщелина верхней губы, альвеолярного отростка, мягкого нёба.
В 4 месяца челюстно-лицевой хирург провел хейлоринопластику - так устраняется дефект в области губы и носа.
В 6 месяцев была еще одна операция.
Это, конечно, не у нас, а в условиях стационара.
Такая челюстно-лицевая патология возникает на 5 неделе беременности, и на это влияют многие факторы:
• внутриутробные вирусные инфекции,
• применение медицинских препаратов;
• физические воздействия (радиация);
• алкоголь, курение, наркотики,
• стресс;
• недостаток или избыток некоторых витаминов;
• неблагоприятные экологические факторы;
• наследственность и др.
Степень тяжести расщелины различная, такой порок ведет к нарушению функции дыхания, жевания, глотания и речи.
Поэтому крайне важно провести оперативную пластику в течение первых месяцев жизни ребенка.
Коррекция расщелин проводится в несколько этапов:
1. Первый – пластика верхней губы и носа в первые 2-4 месяца жизни.
Цель – устранение косметического дефекта и восстановление правильной анатомии верхней губы и носа.
2. Второй этап – пластика нёба в возрасте до 1,5 лет.
При наличии расщелины верхней челюсти ребенок нуждается еще в одной операции.
3. Третий этап - костная пластика верхней челюсти проводится после прорезывания центральных постоянных зубов верхней челюсти.
Параллельно выполняются косметические операции.
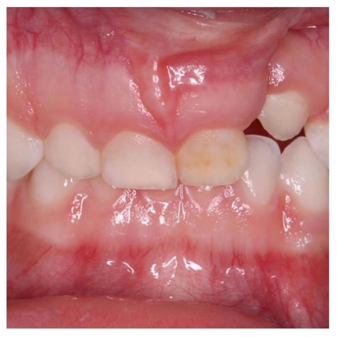
Эта девочка ходит ко мне на профосмотры с двух лет.
Мы уже ставили ей пломбы, в это посещение проводили чистку.
После предстоящих операций она направится к ортодонту, т.к. есть проблемы с прикусом, и зуб, который не в ряду, нужно будет ставить на место.
Желтый передний зуб - это кариес в стадии пятна.
Мы следим за ним, стабилизируем и проводим фторирование.
Читайте также






