Профессиональная гигиена полости рта - первый этап лечения.

3 минуты на чтение
3
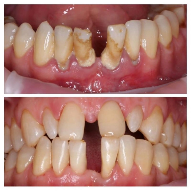
Специально взяла этот пример из работы нашего гигиениста Ирины Ёлкиной, чтобы показать вам начальный этап лечения.
Пациенту 40 лет.
страшнейший гингивит - воспаление десны.
Обратите внимание на ее алый цвет на фото «до».
Воспаление началось из-за огромного количества копившегося годами зубного камня.
Но молодой человек не сидел сложа руки.
Он живет в другом городе, и там ходил в клиники и просил провести ему профессиональную гигиену.
На что врачи отказывали, ссылаясь на то, что зубы в челюсти держатся за счет зубного камня.
Это полнейший бред.
✔Сейчас пациент проходит комплексное лечение в нашем Центре;
✔Провели профессиональную гигиену;
✔Несколько зубов вылечили;
✔Некоторые пришлось удалить;
✔Установили временные коронки;
✔Планируем лечение дисфункции височно-нижнечелюстного сустава.
Запомните его.
Обязательно расскажем об этапах лечения и покажем красивый результат До/После по окончании.
И не стесняйтесь обращаться к нескольким врачам, если вдруг кто-то из них вам отказывает в проведении нужной процедуры.
Читайте также






