Преображение улыбки после ношения брекетов

3 минуты на чтение
2
Вот и наша юная пациентка тоже боялась.
Но ситуация в полости рта всё же побудила прийти и довериться.
И всё не зря!
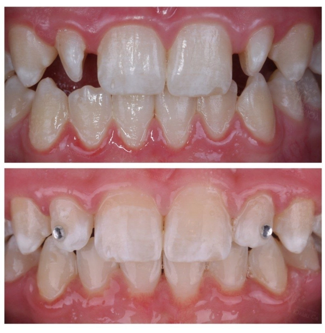
15 лет — осознанный и очень ранимый возраст.
Хочется общаться уверенно и открыто, улыбаться без стеснения.
Но верхние боковые резцы при прорезывании оказались развернуты практически на 90°.
Так случилось, и это можно и нужно исправлять.
За дело взялась ортодонт #ЦентрСелютиной Наргиз Исмайлова.
Лечение проводилось на металлической брекет-системе.
Результата удалось достичь за 1,5 года.
Теперь девочка невероятно довольна своей улыбкой!
Для исправления прикуса нет ограничений по возрасту.
Если есть показания, то не стоит тянуть.
Потому что из-за патологии смыкания могут возникнуть проблемы с внешним видом, контуром лица, здоровьем височно-нижнечелюстного сустава и даже осанкой.
Читайте также






