Преображение улыбки

3 минуты на чтение
3
Ну улыбка как улыбка.
Неидеальная - да и кто там обращает внимание...
А вот и нет!
Красота и эстетика важны всегда!
Фронтальная зона — это наша с вами визитная карточка.
Человек с ровными, ухоженными зубами и открытой улыбкой без стеснения вызывает гораздо более приятное впечатление.
А оно важно везде — и в бытовом общении, и в деловом.
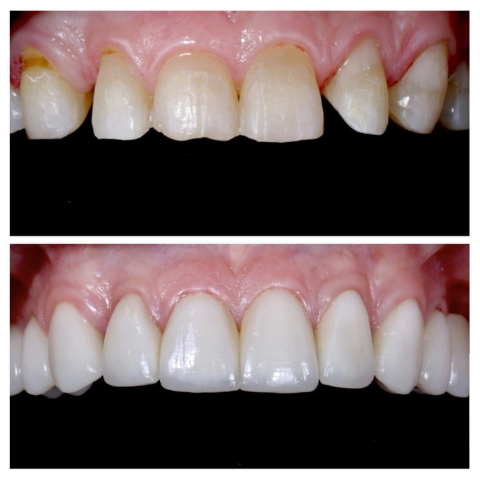
Посмотрите, как преобразился внешний вид верхней челюсти нашего пациента!
А ведь его все и так устраивало.
Зато теперь улыбка естественная.
Все зубы под коронками и винирами.
Керамика E.max — лучший материал для получения красоты и эстетики.
Не отличить от родных!
Пациент, к слову, взрослый, 57 лет.
Но я считаю, что в любом возрасте МОЖНО и НУЖНО следить за здоровьем зубов и эстетикой улыбки.
Хоть в 5 лет, хоть в 20, хоть в 80.
Чуть позже расскажу подробнее, какая длительная и сложная работа с ним велась.
Для начала, чтобы уговорить его на преображение))
Не переключайтесь, скоро всё покажу.
Читайте также






