Постоянные зубы не прорезываются - что делать?

3 минуты на чтение
2
Именно так бы я описала ситуацию с этим пациентом.
Ребенку 8 лет.
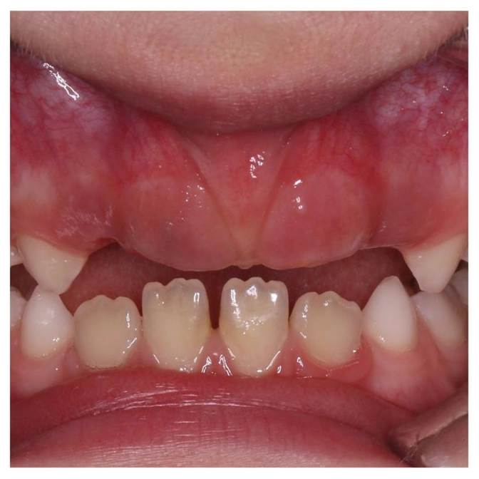
Около года назад нижние центральные резцы сменились на постоянные.
После них заняли свое место нижние боковые резцы.
Видите, они крупнее, имеют характерный желтоватый цвет и волнистые края?
Четыре верхних молочных резца выпали уже давно.
Но постоянные все никак не начнут прорезываться.
И ходит наш пациент и беззубо улыбается.
А мы ждем.
✔Да, просто ждем.
Потому что зачатки постоянных на месте и рано или поздно они должны начать расти.
PS: спустя 2 недели с этим мальчиком встретилась вновь.
Правый зуб ПРОРЕЗАЛСЯ.
Счастью не было предела.
Читайте также






