Почему я не люблю серебрение молочных зубов.

3 минуты на чтение
2
А его все делают да делают.
Вот вам ещё одна история из практики (он же клинический случай)
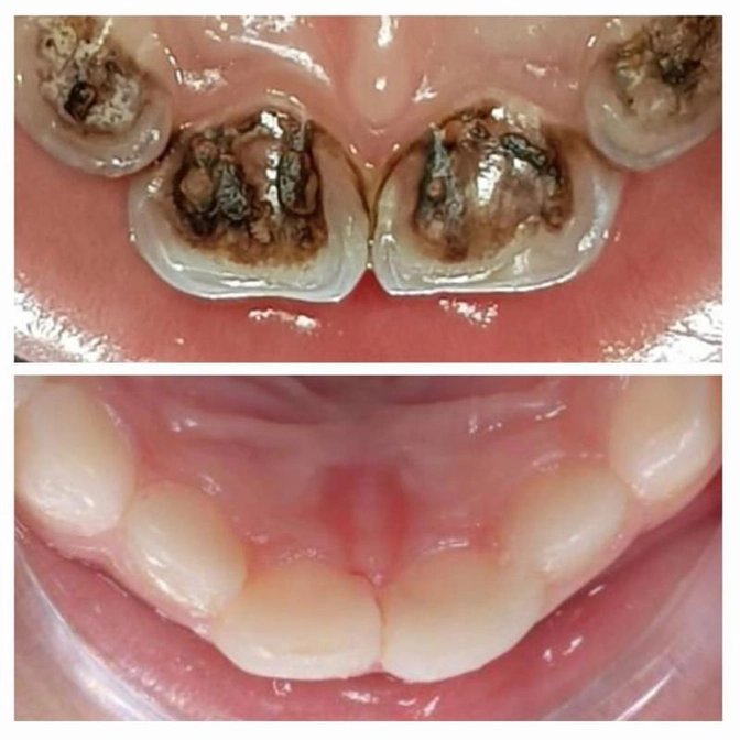
Вроде ничего страшного с зубами, а заглянуть изнутри и вот.
Первый раз девочка и ее мама пришли на прием в марте 2018 года, когда малышке было чуть больше 2х лет.
Зубы уже серебрили в поликлинике.
И все-таки 2 года - это слишком нежный возраст, ребенок ни в какую не дал полечить зубки.
В этом случае принимается решение о Лечении зубов в условиях глубокой седации (наркоз, медикаментозный сон)
! Не настаиваю! Выбор всегда за родителями!
Хотя бывают случаи, когда это крайне и безальтернативно необходимо
В этом случае мама девочки взяла паузу и вернулась к нам спустя время.
вот с такой картиной на зубах.
Ребенок уже подросший, отреагировала спокойно и дала Гуле Биляловой провести лечение.
1. Начали с жевательных, т.к. там тоже был кариес.
2. Реставрировали под местной анестезией по 2 зуба за посещение.
3. На передних зубах кариозные полости с внутренней поверхности - это средний кариес.
Все восстановили, пациентка и ее мама довольны.
Читайте также






