Пломба иди вкладка?

3 минуты на чтение
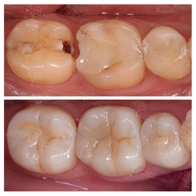
2
От большой жевательной нагрузки материал дал усадку, и внутрь попали бактерии.
Чернота под пломбой — это вторичный кариес.
Такой обязательно перелечиваем, чтобы не потерять зуб.
Пациент взрослый.
Требовалось вылечить шестой и седьмой зуб.
Работа стоматолога-терапевта Олеси Ибрагимовой.
▪️Старые пломбы убраны;
▪️Удалены все пораженные ткани;
▪️Полости обработаны;
Далее встает вопрос о восстановлении зубов.
❓Что показано в этом случае?
Пломбы были большие, практически на всю жевательную поверхность, и нагрузка на эти зубы самая большая.
Неудивительно, что краевое прилегание материала нарушено.
Чтобы такого не повторилось, нужен другой способ восстановления.
В нашем случае это керамические коронки.
Поэтому передаем пациента в руки стоматолога-ортопеда.
✔️Снимаем слепки с обеих челюстей, чтобы реставрация встала ровно по прикусу.
✔️Передаем их в лабораторию.
✔️Зубной техник отливает гипсовую модель и изготавливает из керамики коронки — миллиметр к миллиметру и цвет в цвет.
Посмотрите, как идеально они вписались в прикус.
Керамику e.max не отличить от родных зубов!
Читайте также






